Anleitung zur Probenentnahme / Testung auf CoVID-19
Liebe Patientin, lieber Patient,
Bei Kontakt mit Corona/SARS-CoV2-Patienten oder bei Grippesymptomen melden Sie sich bitte über Telefon, E-Mail oder Fax vorher an.
Wir führen nach Terminvereinbarung die Abstriche bei uns in der Praxis durch.
Möchten Sie den Abstrich selbst durchführen, halten Sie sich genau an die Anweisungen zur selbstständigen Durchführung von Abstrichen aus Nase und Rachen. Führen Sie die Abstriche am besten vor einem Spiegel durch.
- Öffnen Sie das Röhrchen oben durch eine Drehbewegung und halten Sie den Tupfer am Stielende fest.
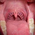
Wichtig: Fassen Sie den Tupfer nicht vorne an. Bild 1 - Sehen Sie sich im Spiegel die anatomischen Gegebenheiten im Rachenraum an. Die im Bild schwarz schraffierte Fläche ist das Zielgebiet Ihres Abstrichs. Bild 2
- Führen Sie den Tupfer in die Mundhöhle bis zum Zielgebiet ein. Der Tupfer sollte dabei nicht mit der Zunge, den Zähnen oder der vorderen Mundschleimhaut in Berührung kommen.
Streichen sie unter leichten Drehbewegungen des Tupfers halbkreisförmig über das im Bild markierte Areal. Bild 3 - Führen Sie nun den Tupfer ca. 2 cm tief in die Nase ein und nehmen Sie durch 3 Drehungen an der Naseninnenwand etwas Nasensekret ab. Bild 4
- Stecken Sie den Tupfer vorsichtig in das Transportröhrchen und beschriften Sie dieses mit Ihrem Namen. Der Abstrich sollte nun schnellstmöglich zur Hausarztpraxis. Der Labortest dauert etwa 2 Arbeitstage. Die Praxis ruft nur bei einem positiven, CoViD-19, nachgewiesenen Testergebnis an. Während der Wartezeit vermeiden Sie bitte Personenkontakte unter zwei Metern und bleiben Sie zuhause. Bild 5

Bild1

Bild 2

Bild 3

Bild 4

Bild 5
Dokumente für die Impfung gegen Covid-19
- Aufklärungsmerkblatt zur Schutzimpfung gegen Covid 19 mit mRNA Impfstoffen
- Anamnese / Einwilligung zur Schutzimpfung gegen Covid 19